ER定义
estrogen受体(ER)是核转录受体超家庭自动转录因子类固荷尔蒙,如estrogen绑定激活ER启动ER可绑定并激活数个细胞过程所涉基因转录,包括扩散、避免吸附症、入侵和血管生成ER-A和ER-BER-A直接参入病理过程,包括乳腺癌一号
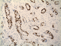
ER乳癌表达式
ER是乳腺癌中信息最丰富的生物标志ER表达式能辨别两种截然不同的肿瘤子类型,大多数光性乳房肿瘤表达ER2ExpressER依赖异源供求增长和生存,且总体上差别分明,少攻击性强,预测性强ER表达式发生于四分之三以上的乳癌中,50岁以上的病人更常见1,3
ER作为乳腺癌预测生物标志
ER是乳腺癌的重要预测生物标志ER阳性肿瘤预测优于ER负性肿瘤总体生存、无病生存、复发/复发生存、5年生存、治疗失效时间和复发时间都显示与ER表达式有正相关4
ER表达式已融入评分系统,比较精确估计乳腺癌复发和死亡概率,PREDICT评分就是例子之一5
ER预测乳癌生物标志
ERA被认为是初级和高级乳腺癌管理中最强预测生物标志之一,因为内分泌理疗为ER阳性肿瘤提供实质益惠ER表达式允许选择内分泌治疗对象并选用ocegene受体调制器(SERMs)(SERMs)(SERMs)托莫西芬并托雷米芬市或aromatase抑制器菜鸟并安卓交火性:exiesta)上头欧洲医学肿瘤学学会临床实践指南推荐tamoxifen为绝经前病人和AI和tamoxifen提供标准内分泌治疗,均被视为绝经后病人有效选择6
Tamoxifen经SERM批准临床用治前期和后期患ER阳性早期乳腺癌和ER阳性晚期疾病Tamoxifen目标ER并抑制雌激素信号传入乳房肿瘤,从而防止细胞复制和扩散剖析200余名早期乳腺癌患者的20项临床试验,比较5年tmxifen与无ajanttttmxifen显示ER阳性肿瘤复发率和乳腺癌死亡率大为下降,但ER阴性肿瘤则非6ER阳性疾病5年tamoxifen分配后头10年大幅下降复发率,前15年乳腺癌死亡率下降约三分之一7
etrozole、anstrozole和exestane经AI批准后期妇女治疗ER阳性乳腺癌AI通过阻塞Aromatase酶抑制ER阳性肿瘤生长随机临床实验元分析显示,AI复发率比tamoxifen低得多,无论是初始单疗法或tamoxifen二至三年后复发率8
高ER表达法也与化疗少益相关6回溯分析显示,与ER阳性肿瘤患者相比,ER阴性肿瘤患者无病率和总体生存率有了更大的绝对提高,复发风险下降幅度更大。九九
ER测试建议
Imnohistechistry(IHC)标准解析平台可用多项临床验证抗体判定ER状态IHC可应用到核心生物检验和外科剖分样
排序推荐
ESOM和美国临床肿瘤学/美国病理学学院指南建议截取ER阳性案例定义为4 6肿瘤细胞有 <1%阳性ER应被视为负值,因为这些病人得不到内分泌法的益惠4
ER状态与ER-阳性结果常关联的肿瘤类型为负值(例如低级肿瘤管状、criform、lobal和脉冲骨型类型),建议报告提供警告语句说明,表示虽然病人的肿瘤测试ER-负值,但几乎总有相同的历史类型或级的肿瘤测试为正值4
保证质量及时ER测试结果
ER测试精度对确定内分泌理疗对患乳腺癌者的适当应用至关重要。ACCO/CAP生成综合建议指南提高IHCER测试精度4IHC方法内变量应标准化以确保ER精确可靠染色包括:
- 组织处理:从组织获取到固定时间应标准化并尽可能短幻灯片存储超过6周后不推荐分析
- 定型类型:只有10%中性缓冲正文应用作胸组织定型
- 组织固定持续时间:乳组织试样必须固定在10%中度缓冲正文中不少于6小时和处理前不多于72小时
- 反体选择:ERIHC测试的抗体选择应限制于那些具有牢固特性和敏感度并经过临床验证的试剂,证明与发布报表中的患者结果有良好关联
- 控制样本:正负控件应随ERIHC批量运行
- 解析:ER解析应包括评价正态细胞核的百分比和染色反应强度
- 内部质量控制和验证:ERIHC分析综合质量控制程序应包含测试的所有方面,以帮助确保实验室服务病人群适当和预期数ER阳性乳腺癌
哪种技术算法应用分析乳癌ER状态
ER状态评价应使用经测试并显示与经临床验证检验高度一致性的经临床验证IHC检验或解析4
使用Alled或H-score等标准评估方法可解释IHC结果6
病人选择
推荐所有新诊断入侵性乳癌和乳腺癌复发,所有可检测ER表达式的病人,即占入侵性癌症细胞的百分之一,应提供内分泌理疗4 6
引用
- PataniN公司、MartinLA公司和DowsettM公司临床管理乳癌生物标志:国际视角IntJ癌症2013;133(1):1-13
- DeAbreuFB公司、SchwartzGN公司、WASWA公司、TsongalisGJ公司个人化乳腺癌治疗Clin Genet2014:86:62-67
- 佩恩SJBowenRLJJLWellsCA乳癌预测标志-即当前Histopathology 2008;52(1):82-90.
- Hammond ME,HayesDF,DowsettM等美国临床肿瘤学学会/美国病理学学院指南建议对乳癌中的雌激素和前列腺受体进行免疫学化学测试JClinOncol2010/28(16):2784-95
- WishartGC、AzzatoEM、GreenbergDC等PREDICT:英国新预测模型预测入侵性乳腺癌手术后生存乳腺癌Res2010;12(1):R1
- Senkus Ess,Kyriakidess,Penault-LlorcaF等初级乳腺癌:ESMO诊断、处理和后续实践指南Annoncol201324(Support 6):vi7-23
- 早期乳腺癌实验者协作组(EBCTG) 乳腺癌荷尔蒙受体和其他因素对ajivant tamoxifen效果的关联性:对随机测试的病人级元分析Lancet2011年;378(9793):771-84
- DowsettM公司,CuzickJ公司,IngleJ公司等aromatase抑制器对tamoxifen实验中乳癌结果元分析JClinOncol2010/28(3):509-18
- 贝里DA Cirrincione静脉受体状态和现代化疗结果供结点阳性乳腺癌患者使用JAMA 2006;29514:1658-67



